Un llamado a todos los usuarios de lentes de contacto: Que no cunda el pánico (tener escalofríos está bien).
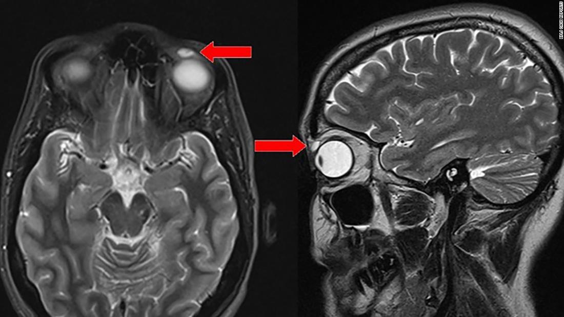
Imagina ir al oculista porque tu párpado superior está hinchado y adolorido. El doctor te dice que es un quiste, y lo opera. Dentro de la ampolla, el cirujano encuentra un lente de contacto: uno rígido permeable al gas.
¡Pero no has usado ninguno en 28 años!
Eso fue lo que le pasó a una mujer británica de 48 años, de acuerdo a un reporte recientemente publicado en el diario MBJ Case Reports.
Empezó como un bulto del porte de un poroto, justo abajo de su párpado izquierdo. Luego el quiste creció durante un periodo de seis meses hasta que fue visible en una resonancia magnética. Además de la hinchazón y el posterior dolor al tocarlo, su párpado comenzó a caerse.
Cuando los cirujanos descubrieron el con el lente rígido, estaba intacto: parecía haber estado perfectamente encapsulado por el tejido. En el proceso de removerlo, el lente estaba quebrado y astillado.
¿Qué había pasado?
La mujer estaba desconcertada. Entonces, su madre le recordó un accidente cuando la mujer tenía 14 años: mientras jugaba bádminton, fue golpeada en el ojo por un proyectil. Ella usaba lentes de contacto rígidos en ese entonces, y el que usaba en su ojo herido nunca fue encontrado.
Dada que la lesión se resolvió rápidamente con los cuidados médicos, la familia asumió que el lente se le había salido del ojo y se había perdido.
Ella nunca usó ningún lente de contacto rígido después de ese incidente.
Síntomas de advertencia sobre un lente atrapado en un ojo incluyen dolor o picazon aguda, leve sensibilidad y enrojecimiento. Pero la mujer no tuvo ninguno de los síntomas después de recibir el golpe.
Su problema más reciente disminuyó después de que le sacaron el lente atrapado del ojo.
Los lentes de contacto permeables al gas están hechos de un plástico rígido y durable que transmite oxígeno, y no deben ser confundido con los populares lentes “blandos” o los tradicionales “duros”.
Casos extraños
Ppese a que perder un lente de contacto dentro de un párpado es una ocurrencia común para muchos de los usuarios, sólo un puñado de casos en los que el cuerpo los ha encapsulado han sido reportados.
Sin embargo, doctores encontraron 27 lentes de contacto blandos en el ojo de una mujer británica el año pasado. En el caso, también reportado en BMJ Case Reports, doctores encontraron un grupo de 17 lentes desechables en una “masa azul” en su ojo derecho: luego encontraron otro grupo de 10.
La mujer, que tenía una pésima vista en su ojo derecho respecto al izquierdo, simplemente pensó que perdió los lentes cuando se los puso.
Consultar al médico
Aquí hay otra sugerencia en este caso: decirle al oculista sobre cualquier trauma en el ojo, y si tienes cualquier inflamación, consulta al médico para cualquier lente extraviado.
Lo más leído
- Diputadas del Frente Amplio presentan propuesta para aliviar cobros a morosos del CAE
- Tensa sesión en la Cámara: El enojo de Milei con la prensa y la defensa de Adorni ante acusaciones de presunto enriquecimiento ilícito
- Gobierno solicita a Enap distribuir el 70% de sus utilidades al gobierno central tras aumento de un 108% en 2025
- De Bob Dylan a Bad Bunny: The New York Times revela lista de los mejores compositores estadounidenses vivos
- Panoramas este 2 y 3 de mayo: Expo Yoda en Las Condes, Mercado Román en Providencia y juegos de mesa en Santiago